Дејан Киров
Подобрување на загриз и нова естетска и функционална насмевка
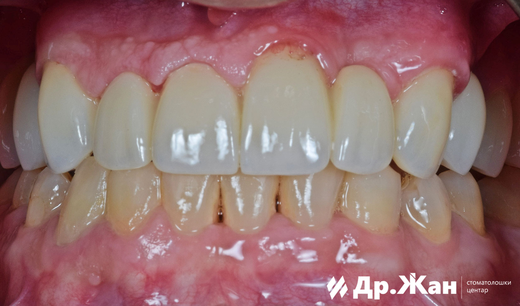
„После 10 месеци терапија, пресреќен сум за резултатот“
Дејан
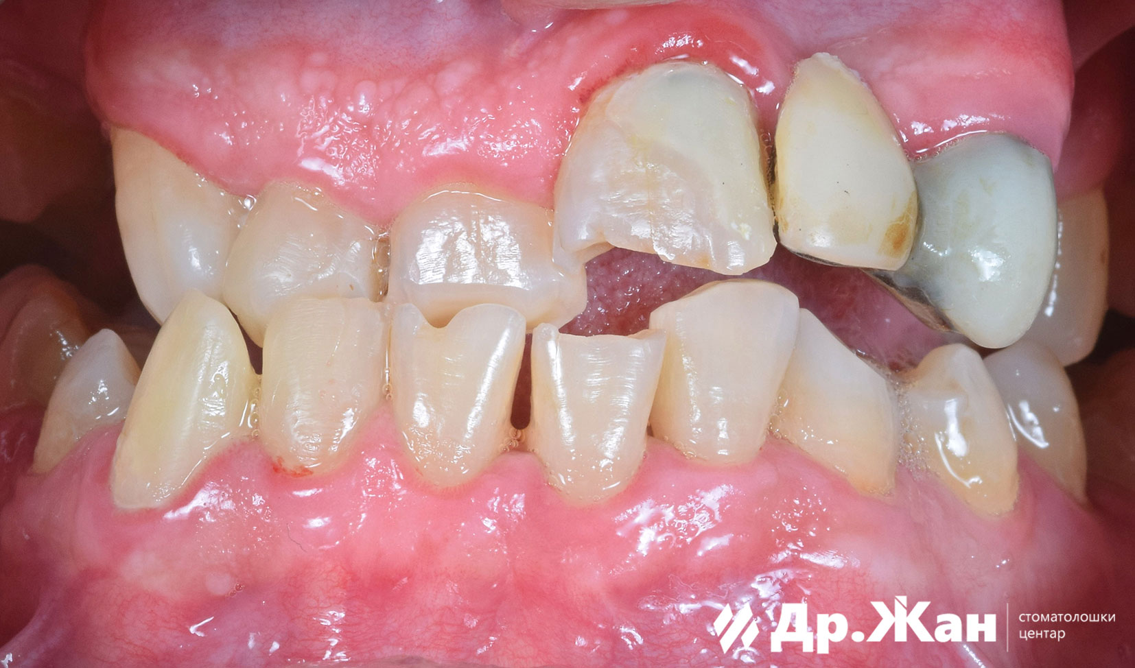
Пациентот дојде во нашата ординација со сериозно пореметување на загризот, со желба да добие нова, естетска и функционална насмевка
После направените анализи и снимки беше утврден планот по кој ќе се движиме.
Терапијата почна со поправка на сите засегнати заби и периодонтален третман. Потоа продолживме 10 месеци со ортодонтска терапија и на крајот беа изработени прекрасни коронки и мостови од циркониа

ПРЕД

ПОТОА
Мисија успешна… само со вистински тим и дисциплинирани пациенти како Дејан.
