Силвија
Оштетени мостови потпрени на забите
По прегледот и сите анализи, планот за терапија се состоеше од целосна реконструкција на устата со забни импланти. Сите заби беа отстранети, а имплантите беа поставени веднаш. На пациентката ѝ беа поставени привремени заби за време на периодот на заздравување.
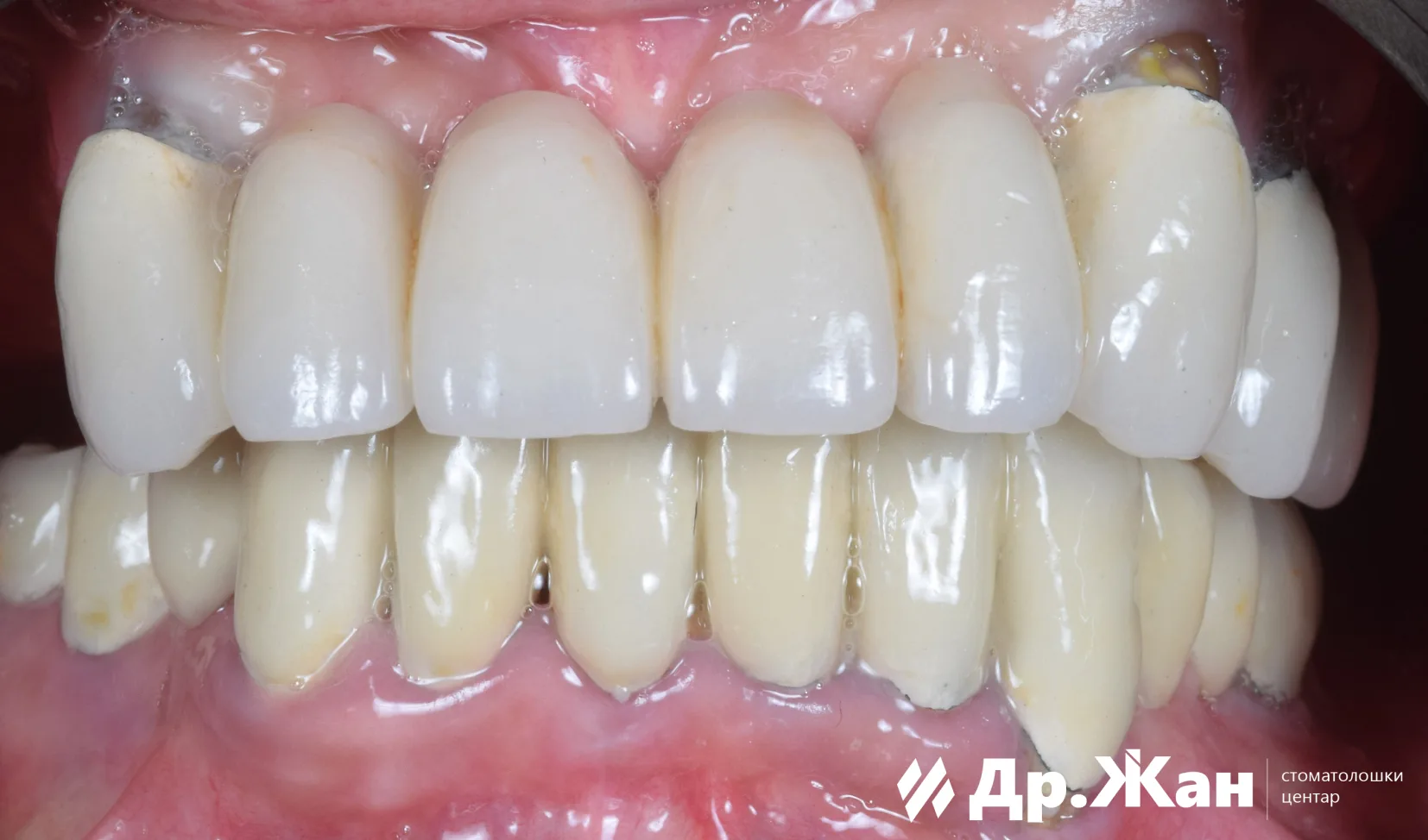
По 6 месеци остеоинтеграција на забните импланти, обезбедивме нова прекрасна насмевка со хибридна конструкција, циркониум на титаниумска шипка.

ПРЕД

ПОТОА
Вертикалната димензија на оклузијата беше подигната, па не само што добивме нова насмевка, туку резултатите се појавија на кожата на пациентката, постигнувајќи помлад и посвеж изглед.
Дигиталниот работен тек ни овозможи да го постигнеме овој прекрасен резултат. Се стремиме да ги користиме сите достапни алатки за да постигнеме предвидливи резултати како овој.
Резултатот е неизбежен.
