Весна
Од нефункционален мост до самоуверена насмевка
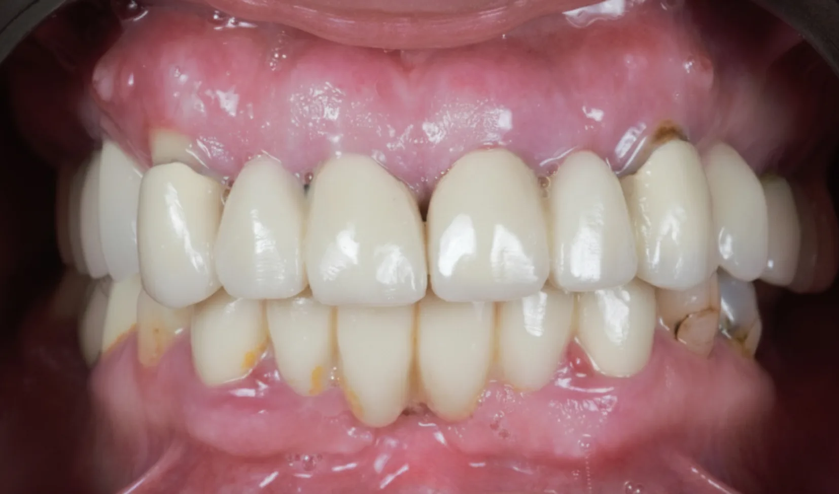
Оваа жена дојде во нашата ординација со нефункционален металкерамички мост во горната вилица. По првичниот преглед и денталната томографија, беше обезбеден план за терапија. За жал, тој вклучуваше отстранување на сите заби во горната вилица, но за среќа со нашето All on 6 решение ѝ помогнавме повторно да се насмевне.
Ги извадивме сите заби и веднаш ги поставивме шесте импланти во горната вилица и уште два импланти во долната вилица. Имплантите беа поставени со помош на дигитален хируршки водич за импланти за најдобар можен резултат на позиционирање на имплантот. На пациентката веднаш ѝ обезбедивме привремени заби.

ПРЕД

ПОТОА
По 4 месеци направивме прекрасна нова насмевка користејќи хибридна конструкција од цирконија на титаниумска шипка за долготрајна насмевка со најдобра можна естетика. Весна беше навистина среќна за нејзината нова насмевка и планираме подоцна да ги промениме долните коронки за да можеме да постигнеме уште поубава насмевка.
Резултатот е очекуван, преубава насмевка
