Гонце
Невестинска холивудска насмевка
„Сакав прекрасна и бела насмевка за мојата свадба. Дојдов на вистинското место и направив одличен избор. Ви благодарам д-р Ѓорѓи“
Гонце
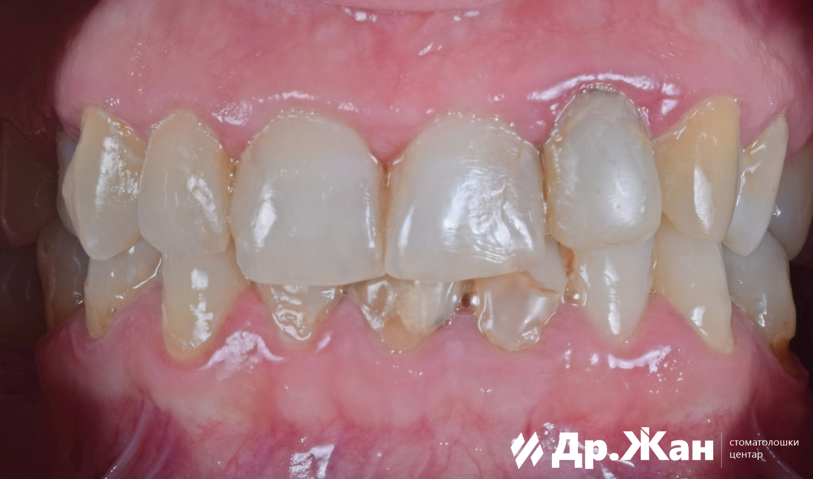
Пациентката дојде во нашата ординација барајќи начин да ја подобри својата насмевка и да ја зголеми самодовербата. Не ѝ се допадна идејата да носи протези и сакаше побрзо решение.
По првичниот преглед и дијагнозата, одлучивме дека треба да се извадат некои заби. Ги стружевме останатите заби и ѝ обезбедивме привремени заби.
По неколку недели заздравување, ги направивме последните циркониумски коронки и мостови и ѝ обезбедивме на идната невеста прекрасна, природна насмевка што ги исполнува нејзините желби.

ПРЕД

ПОТОА
Гонце ја напушти нашата клиника со широка насмевка и беше многу среќна за својата нова холивудска насмевка.
Конечниот резултат беше навистина задоволна пациентка со нова, природна насмевка што совршено ѝ одговара.
