Даниела Стамболиева
Целосна реконструкција на вилица со импланти
Оваа пациентка дојде во нашата клиника од Бугарија. Таа имаше силен страв од стоматолози, повеќе изгубени заби во двете вилици и нееднаков загриз поради тоа.
По прегледот и анализата, планот за терапија беше целосна реконструкција на устата со забни импланти и циркониумски коронки и мостови. Преостанатите корени беа извадени и шест забни импланти беа поставени со помош на хируршки водич и дигитален работен тек.

ПРЕД

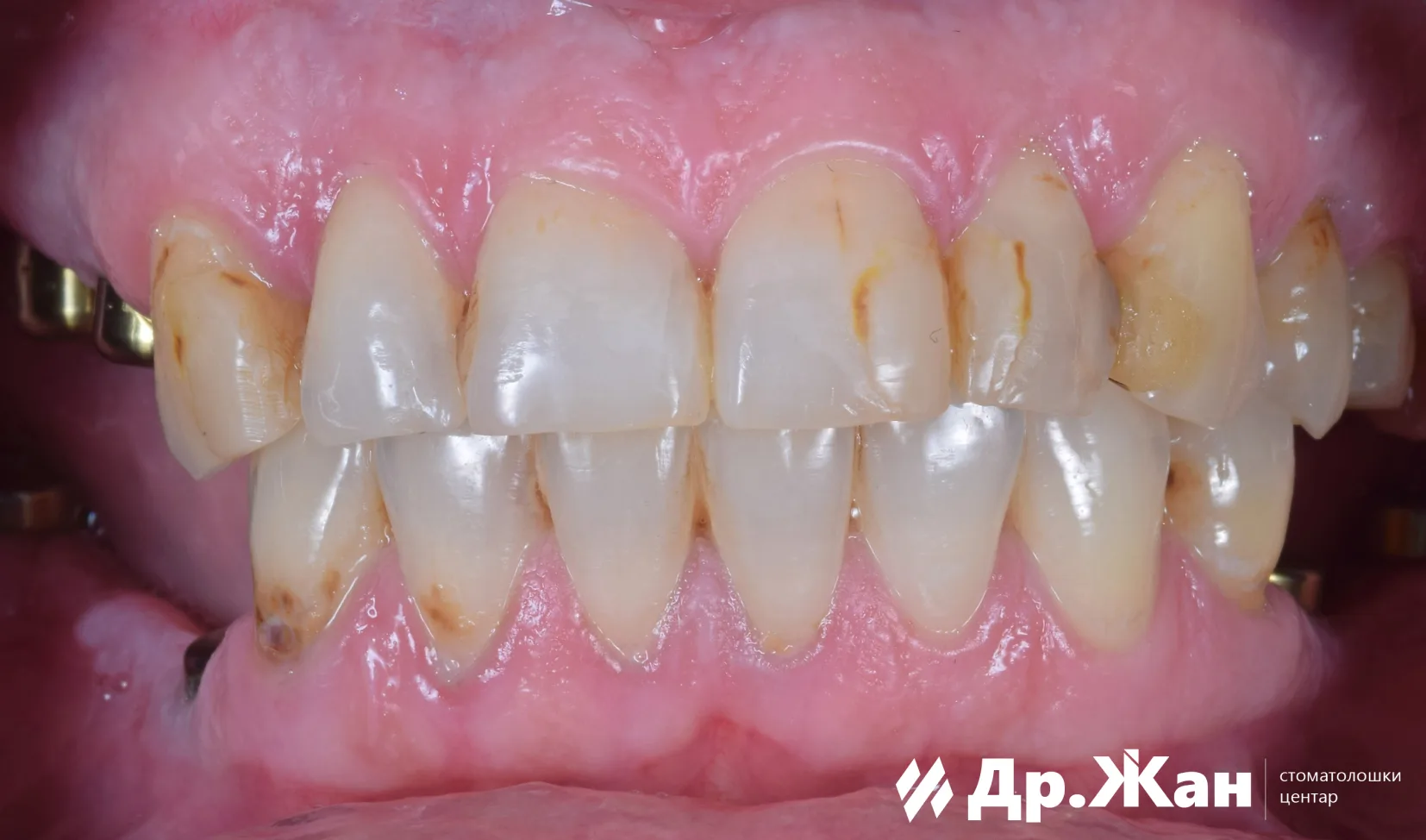
ПОТОА
По периодот на заздравување од 6 месеци, забите беа подготвени и беше поставена прототип насмевка со привремени заби. По анализата на прототип насмевката, ги направивме сите потребни промени за да ѝ обезбедиме на оваа пациентка оваа нова прекрасна насмевка со циркониумски коронки и мостови преку забните импланти. Сето ова беше направено со дигитален работен тек.
Пациентката ја напушти нашата клиника насмеана и многу среќна за својата нова насмевка. Овој случај што го менува животот е она за што работиме, тоа е она за што живееме.

Пред
